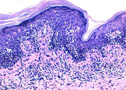
 The neoplastic T-cells are spread out in a horizontal band just below the epidermal-dermal junction. Other malignant cells infiltrate the epidermis in a manner called "epidermotropic" that is characteristic for cutaneous T-cell lymphomas. Despite all the lymphoid cells infiltrating the epidermis, there is relatively little spongiosis compared to what might be present in a benign inflammatory lesion. |