
Go to:

TOC
|
Peripheral T-Cell Lymphomas: Example 4A
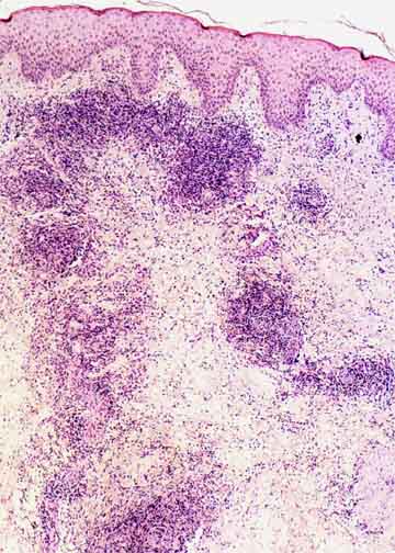
This case is yet another PTCL-NOC primarily involving skin (see also
Cases 2A, 2B, and 3A).
The lymphoma progressed to a more aggressive form.

Clusters of malignant lymphoid cells surround dermal vessels and adnexal structures.
The epidermis is spared.
|

Both small and larger atypical cell are seen in one of the dermal clusters.
|
Table of Contents
|