
Go to:

TOC
|
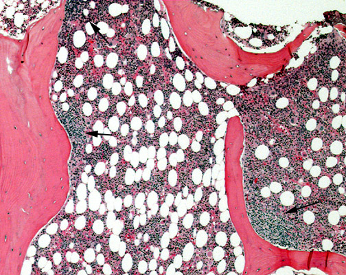
Follicular Lymphoma in the Marrow
This is a low-power view of low-grade follicular lymphoma metastatic to the marrow. Note that the deposits, indicated by black arrows, tightly adhere to the trabeculae.
|
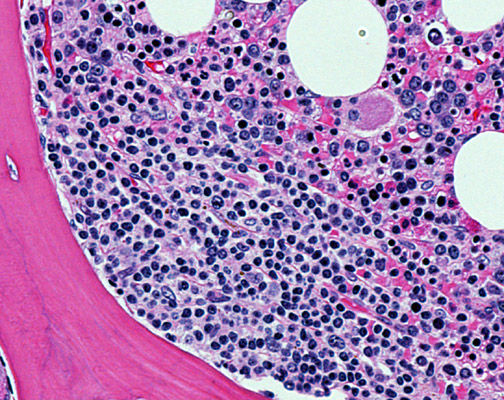
This is a medium-power image. You can see clearly the interface between the lymphoma and the normal marrow elements.
|
In this high-power view, you can see the cytologic details of the follicular lymphoma cells, including their irregular nuclear outlines and an occasional admixed larger form.
|
Table of Contents
|