
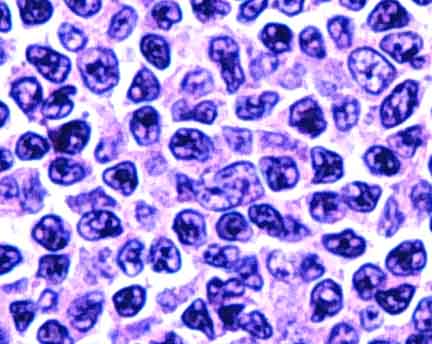
Though the magnification is high and these cells appear large, in reality they are mostly small-cleaved cells, barely larger than a benign small lymphocyte. The chromatin is moderately clumped, and the nucleoli are inconspicuous. Their most striking feature, however, is the marked deformation of the nuclear contour. A large-cleaved cell is just below center. |