
Go to:

TOC
|
Grade 2 Follicular Center Cell Lymphoma
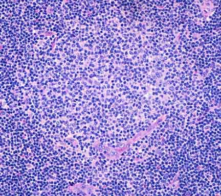
 The neoplastic follicles are only moderately well-defined and are closely packed. |
 The follicle is vague because it lacks a mantle zone and because many of its cells, while cleaved, are only slightly larger than the surrounding benign small lymphocytes. |
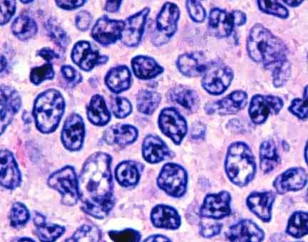
 At high power the mixture of different size cells is apparent. Especially the smaller cells appear cleaved, with deep nuclear grooves and pointy nuclear out-pouchings. |
Table of Contents
|