
Go to:

TOC
|
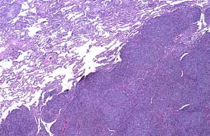
Grade 3 Follicular Lymphoma
An example of grade 3 follicular lymphoma, here in the lung. This is the least common of the 3 grades of follicle-forming lymphoma. The large cells are more "blastic" than small-cleaved ones, and thus they are the more likely to forget such sophisticated lymphoid behaviors as forming follicles.
|
A neoplastic follicle at medium power. Even though these are relatively high grade neoplastic lymphoid cells, note that the mitotic rate (as well as you can perceive it at this power) is lower than what would be seen in the ferociously mitotic normal germinal center.
|
The large cells predominate. Most of them are centroblasts.
|

Table of Contents
|