Go to:

TOC

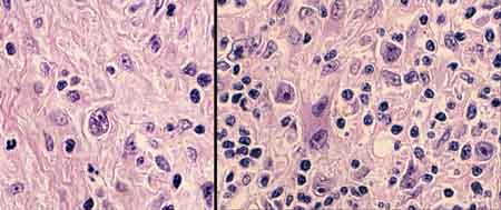
Lymphocyte Depletion Hodgkin Lymphoma


Necrosis is prominent in the center, surrounded by many Reed-Sternberg cells. Some cases of lymphocyte depletion contain swarms of very atypical cells, sometimes sufficiently bizarre to merit the label of "sarcomatoid".

 


A Reed-Sternberg cell occupies the center, surrounded by not-too-many lymphocytes and fibrosis that might be described as disorganized. When viewed through polarized light, it is not birefringent, unlike the fibrous bands of nodular sclerosis.

 


Additional cases.

Table of Contents