
Go to:

TOC
|
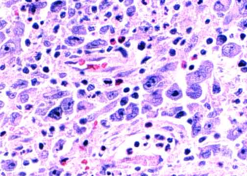
Mixed Cellularity Hodgkin Lymphoma
As its name implies, the background inflammatory component of mixed cellularity Hodgkin lymphoma sports a variety of different cell types. It lacks the fibrous bands of the nodular sclerosis subtype, generally has more numerous Reed-Sternberg cells, and has a slightly worse prognosis. A high power image like this, however, could easily have come from the center of a nodule of a case of nodular sclerosis Hodgkin lymphoma.
The inflammatory infiltrate includes lymphocytes, eosinophils, neutrophils, and histiocytes. Though not seen here, plasma cells might also join the fray.
Table of Contents
|