
Go to:

TOC
|
Small Lymphocytic Lymphoma in the Bone Marrow
When reporting marrows involved by small lymphocytic lymphoma (or its equivalent, chronic lymphocytic leukemia) it is important to assess:
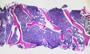
- The cellularity of the marrow as a whole (the percentage of the inter-trabecular space not occupied by fat cells).
- The percentage of inter-trabecular space occupied by the malignant infiltrate.
- The pattern of the malignant infiltrate: interstitial, nodular, or diffuse.

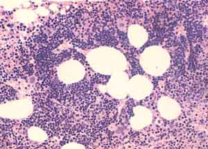
Nodular pattern. The nodules are not pressed up
against the trabeculae, as they would be if the
lymphoma were follicular.
|

Interstitial pattern. The malignant cells are the dark,
small ones. Normal marrow is at the upper left and lower
right corners.
|

Diffuse pattern.
|
Table of Contents
|