Go to:

TOC

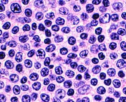
Benign Versus Malignant Lymphocytes

One panel shows the small lymphoid cells from a case of small lymphocytic lymphoma. The other shows benign small lymphocytes from a reactive lymph node. Which is which?

Table of Contents