
Go to:

TOC
|
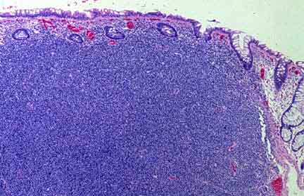
Mantle Cell Lymphoma
At medium power, one sees a monotonous proliferation of small cells. Larger forms are rare or absent.
|
The lymphoid nuclei are irregular. Traditionally they are described as "angulated". In fact here the degree of indentation approaches what is seen in a different type of cell, the small-cleaved cell. In the center is a histiocyte with eosinophilic, granular cytoplasm, which is characteristic of many cases of mantle cell lymphoma.
|

Multiple lymphomatous polyposis in the colon.
|
Table of Contents
|