Go to:

TOC

Plasma Cell Neoplasia: Smears

In these benign plasma cells from a pulmonary plasma cell granuloma (inflammatory pseudotumor), note the relatively small nuclei, clumped chromatin, non-existent nucleoli, and well-defined cytoplamic hoff (pale Golgi area).

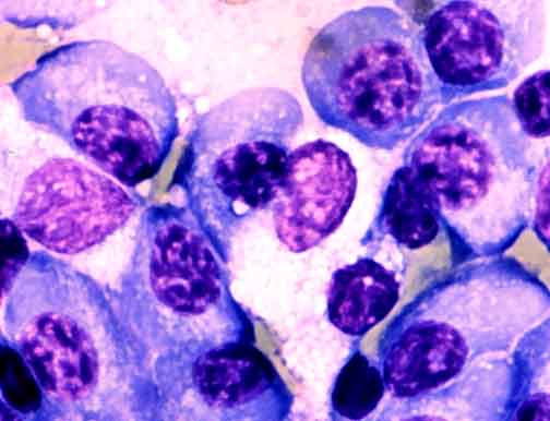
These are well-differentiated but malignant plasma cells. There is minimal nucleomegaly as the only overt indication of their malignancy.

These plasma cells are more clearly malignant. In addition to large nuclei, they have fine chromatin, occasional nucleoli, and atypical cytoplasmic features.

Table of Contents