
Go to:

TOC
|
Cat-Scratch Lymphadenitis

A low power view of a hyperplastic follicle below
an area of monocytoid B-cell hyperplasia with early
necrosis. This is an early stage in the disease, before
the formation of large, stellate, clearly suppurative
granulomas. |

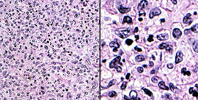
Left: A medium power view of an early granulomatous
area. A small sliver of monocytoid B-cells can be made out at the lower
left corner. Right: A high-power view of the monocytoid
B-cells intermingled with neutrophils and some nuclear
debris--harbingers of the necrosis soon to develop. |

From a different case, a stellate granuloma in a late stage
of infection. Especially if the central necrosis has become
caseous, this granuloma might be hard to distinguish from
an atypical mycobacterial granuloma. |
Table of Contents
|