
Go to:

TOC
|
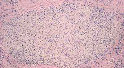
Mycobacterium Avium Intracellulare in AIDS
 A well-defined collection of fluffy or foamy macrophages. The aggregates are not always so well delimited. |
 Left: the infamous fluffy/foamy macrophages. Right: an oil-immersion view of them stuffed with red rods, which are the mycobacterial bacilli tinged with an acid-fast stain (termed "red-snappers" in the trade). |
Table of Contents
|