Go to:

TOC

Prev

Next

Introduction to Non-Hodgkin Lymphomas (NHLs)

LYMPHOMAS are clonal, uncontrollably expanding, destructive proliferations of lymphoid cells. Although 25-40% of NHLs arise extra-nodally, lymphoma cells are most at home in lymph nodes or other primary lymphoid organs, such as the spleen, thymus, Waldeyer's ring, or mucosa-associated lymphoid tissue. Lymphoid neoplasms that predominantly involve the bone marrow and peripheral blood are usually considered leukemias.
         Plasma cell malignancies such as multiple myeloma are certainly lymphoid; but somewhat arbitrarily they often discussed separately. Another distinct entity is Hodgkin lymphoma (HL), formerly known as Hodgkin disease. Because this B-cell neoplasm has some unique features, it, too, is discussed in its own section.

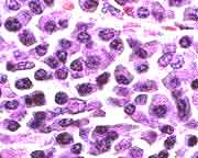
Diffuse large cell
Non-Hodgkin lymphoma, large cell
Hodgkin's disease
Hodgkin lymphoma
Multiple myeloma
Multiple myeloma
        Like carcinomas and sarcomas, NHLs more or less resemble the normal tissue from which they derive. What makes life for the diagnostician more difficult is that normal lymphocytes go through many stages as they develop from small, resting, inexperienced cells to larger, atypical-appearing, proliferating cells. The stimulus for this change, of course, is exposure to antigen. Malignancies may arise from lymphoid cells arrested at any of these stages. Morphologically, immunophenotypically, and genetically, the NHLs fall into categories with important therapeutic and prognostic associations.
         Both cytologically and architecturally, lymphoid proliferations may lack some of the morphological complexity seen in non-lymphoid organs with more obvious structure. In some cases, ancillary laboratory studies are necessary to determine if a lymphoid proliferation is benign or malignant or to identify its lymphoma subtype. These studies include:
  • Immunophenotyping to determine what kind of surface molecules are present on the cells.
  • Cytogenetics to identify any abnormal chromosomes.
  • Molecular diagnostics including the polymerase chain reaction, DNA/oligonucleotide microarrays, and next generation sequencing to uncover mutations of immune system genes or other subchromosomal evidence of malignancy.
        Many attempts have been made to classify NHLs. The most up-to-date and "scientific" classification is the World Health Organization (WHO) classification, which began to see light initially as the REAL classification in the late 90's. The WHO classification attempts to name and describe all lymphomas that are identifiable as biological entities using every tool in the hematopathologist's kit: morphology, immunophenotype, cytogenetics, and molecular characteristics. It does not group lymphomas into prognostic categories; clinicians are expected to be familiar with their prognostic and therapeutic behaviors. The WHO classification is described and used in this tutorial.
                  For the patient and clinician the most important distinction is between low grade NHLs on the one hand and higher grade ones on the other. These 2 forms of NHL have morphological, biological, and clinical differences that are discussed on another page.

Epidemiology:
In the United States the incidence of NHL in the last few years has been 19.5/100,00 and 6.0 deaths/100,00 for a lifetime risk of 2.1% At these rates, NHL is the 7th most common cause of both new cases of cancer and cancer deaths, accounting for 4.3% of new cancers. The rate of NHL is higher in whites than in African Americans and higher in males than females. The table below shows estimated new case and death data in 2016 for NHL and HD in comparison to 2 other common cancers.
Non Hodgkin Lymphoma Hodgkin Disease Prostate Cancer Breast Cancer
New Cases 72,580 8,500 180,890 246,660
Deaths 20,150 1,120 26,120 40,450

         As far as trends go, the current 5-year survival (2006-2012) is 70.7% compared to 45.8% in 1975. The death rate in recent years (2004-2013) has fallen an average of 2.4%/year. The incidence of NHL was 11.1 cases/100,000 people in 1975, and the rate increased to about 18-19/100,000 in 1990, where it has remained steadily until the present. Unlike Hodgkin lymphoma, which has a bimodal age distribution, the incidence rate of NHL steadily and steeply increases after age 30 years, although childhood NHLs are not rare.
         The 1980s saw a startling incidence of NHL among patients with AIDS, who have a particularly high rate of high grade, extra-nodal, or central nervous system NHL. In this setting these types of lymphomas occur 60 times more frequently than in the general population. In one study the rate of NHL, measured from the initiation of zidovudine therapy, was 12% at 2 years and 29% at 3 years.
         NHLs are also very prevalent among patients with primary immunodeficiencies or with therapeutic immunosuppression such as transplantation regimes. In post-transplant patients, evidence of clonal Epstein-Barr virus infection can be found in most NHLs.
         Besides immunodefects, risk factors for NHLs are hard to identify. The second strongest risk factor is a family history of the disease, which entails a 3-4 times greater risk to relatives. A weaker and not completely persuasive factor is occupational exposure, especially to pesticides and herbicides. Finally a weak, inconsistent association has been unearthed between NHLs and hair dye use.

Table of Contents | Next section | Previous section