
Go to:

TOC
|
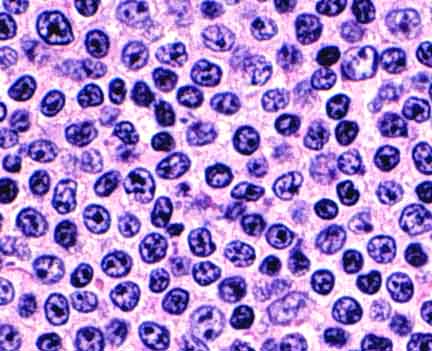
Small Lymphocytic Lymphoma--Images
These are images of small lymphocytic lymphoma involving a lymph node at increasing magnifications.
 The barely perceptible pale splotches are the proliferation centers. |
 Some of the larger cells with less clumped chromatin and more prominent nucleoli are prolymphocytes. If they were even larger they might be called "paraimmunoblasts". |
 The cells are round to oval and, for the most part, lack significant nuclear angularity or cleavage. The chromatin is coarse and clumped. These characteristics of malignant small lymphocytic lymphoma cells are also features of benign mature small lymphocytes. It may be hard to tell them apart. |
Table of Contents
|