Go to:

TOC

Prev

Next

Follicular Lymphomas

FOLLICULAR lymphomas are one of the more common non-Hodgkin lymphomas in North America. They afflict almost exclusively adults, particularly the middle-aged and elderly. Because the small-cleaved cells of follicular lymphomas know how to book passage in the blood, patients usually present with disseminated lymphadenopathy. Nonetheless these lymphomas are less aggressive than diffuse large-cell lymphomas and other higher grade lymphomas.
         Right off the bat it should be said that follicular lymphomas may include areas of diffuse growth and, in fact, such areas may predominate; but, in addition to showing at least a focally nodular growth pattern, a follicular lymphoma may also be distinguished by a combination of soft signs: immunophenotype (CD10+), cytogenetic (t(14;18)), and morphologic (the presence of small cleaved B-cells).
         It stands to reason that lymphomas with a follicular growth pattern tend to be indolent: the neoplastic cells must be fairly well differentiated to retain their B-lymphoid ability to self-assemble into follicles. Conversely follicular lymphomas that grow predominantly diffusely have lost a key characteristic of follicle cells, which is a sign of dedifferentiation and may be a harbinger of more aggressive behavior.
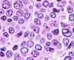
FCC lymphoma, mixed
Note the presence of both small-cleaved and large cells.
        Follicular lymphomas are composed of malignant cells that resemble their equivalents in the normal lymphoid follicle. These cells include small-cleaved cells, large-cleaved cells, and large-non-cleaved cells, where "cleaved" refers to marked nuclear indentations or clefts. Generally these cells have little cytoplasm. The small cells ("centrocytes") tend to have dark, clumped chromatin and no or inconspicuous nucleoli. The larger cleaved or non-cleaved cells, sometimes called "centroblasts", have more open (clear) chromatin, typically with multiple prominent, bluish nucleoli that tend to cozy up to the nuclear membrane. In contrast, immunoblasts, which are less numerous in follicular lymphomas, have more abundant reddish-blue cytoplasm and prominent, central, reddish nucleoli.
      The follicular pattern must be distinguished from other benign and malignant nodular processes, including:

  • Benign reactive follicular hyperplasia
  • Small lymphocytic lymphoma with prominent proliferation centers
  • Mantle cell lymphoma with a nodular growth pattern
  • Nodular lymphocyte predominant Hodgkin’s disease
Follicular mixed 

lymphoma
Follicular lymphoma, not benign hyperplasia

       One of the more difficult morphologic distinctions in hematopathology can be between reactive follicular hyperplasias and follicular lymphomas. The important points include:

Low Power (Architectural)
Benign
Malignant
  1. Loosely packed follicles
  2. Polymorphic follicles
  3. Prominent mantle zones
  4. Polarized follicles
  5. Preserved open sinuses
  6. No capsular invasion or transgression
  7. Polyclonal light chain expression
  8. Non-reactive for BCL-2
 

 

  1. Tightly packed follicles
  2. Monomorphic follicles
  3. Absent or obscured mantle zones
  4. Unpolarized follicles
  5. Destroyed and constricted sinuses
  6. Extension into perinodal soft tissue
  7. Monoclonal light chain expression
  8. Reactive for BCL-2
High Power (Cytological)
Benign
Malignant
  1. A very high mitotic rate
  2. Tingible-body macrophages
  3. Between follicles are the usual paracortical lymphoid cells
 
  1. A lower mitotic rate
  2. No tingible-body macrophages
  3. Between follicles atypical cleaved cells may be found

 

Grading Follicular Lymphomas
        Prior to the WHO classification, follicular lymphomas were divided into 3 types according to the ratio of small-cleaved to large cells: small-cleaved cell type, mixed small-cleaved and large cell type, and large cell type. In the WHO classification these distinctions have been abolished, because they seem to imply the existence of different disease subtypes. The authors of the WHO classification felt that all follicular lymphomas are instances of the same disease, but that the grade of the disease varies from case to case. This is similar to the concept behind grading other cancers, such as breast carcinomas.
        The authors of the WHO classification suggest that pathologists define "clinically relevant and reproducible criteria" for separating follicular lymphomas into 3 grades. They recommend in particular the "Berard" cell-counting method as tested in the literature, which emmumerates the number of large centroblasts per high-power field (hpf):
  1. Grade 1: 0-5 centroblasts/hpf.
  2. Grade 2: 6-15 centroblasts/hpf.
  3. Grade 3: >15 centroblasts/hpf.

        Although generally the higher grade cases tend to behave more aggressively, the most important distinction is between, on the one hand, grade 1 and 2 cases and, on the other, grade 3 cases. This last group may require therapy that includes adriamycin in order forestall a tendency toward early relapse. In addition, high grade cases are less likely to have distinctive follicular features, such as expression of CD10 or the t(14;18) translocation involving Bcl-2.
        Another issue is how to respond to the presence of areas of diffuse growth in follicular lymphomas. Generally with grade 1 and 2 cases the amount of diffuse growth should be roughly quantified using the terms "predominantly follicular" (>75% follicular), "follicular and diffuse" (25-75% follicular), and "predominantly diffuse" (<25% follicular). Grade 3 follicular lymphomas are different, in that a diffuse area of centroblastic proliferation represents a component of diffuse large B-cell lymphoma; and the case must be reported as containing such a component.
Follicular lymphoma Compare the high power morphology of the 3 types.

    As with many cancers, follicular lymphomas tend to become more aggressive with time. The percentage of small-cleaved cells may decrease, and the nodularity may grow fainter or vanish. As the proportion of large cells increases, so does the mitotic rate, the tendency to grow diffusely, and the aggressiveness of the lymphoma. It may seem a little mysterious that follicular lymphomas can develop a diffuse growth pattern, but that is part of their malignant potential. As malignant follicular center cells begin to dedifferentiate, they lose their ability to ape the appearance and behavior of their normal counterparts.
       Treatment options depend on the stage and grade of the disease. The infrequent patients with early-stage disease may be treated with local radiation, with or without chemotherapy. Patients with more advanced but low-grade disease may remain untreated as long as no symptoms or lymphoma-related organ compromise are present. When treatment becomes necessary, the options include: 1) single-agent alkylator therapy; 2) low-intensity combined chemotherapy without an anthracycline; 3) whole-body irradiation. Patients with grade 3 follicular lymphoma may benefit from the inclusion of an anthracycline in their chemotherapy.

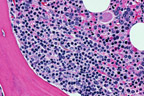
Extranodal Involvement
Follicular lymphomas frequently involve extra-nodal sites:

  • Bone marrow (image) is involved about a third of the time. The lymphoma deposits tend to be paratrabecular and to be composed mainly of the smaller cells.
  • Peripheral blood involvement is most common in the lower grade types. Substantial involvement is usually a late phenomenon.
  • Spleen involvement is seen in about half the patients at laparotomy. The grade 1 and 2 lymphomas infiltrate and transform all the normal splenic follicles, forming innumerable tiny deposits. Grade 3 lymphomas form large, irregular tumor masses.
  • Liver involvement is noted in about 50% of the cases. Usually the portal triads are affected.
Immunology and Genetics
Follicular lymphomas are reactive for pan-B-cell markers CD19, CD20, and CD22 in addition to expressing monoclonal light chains. Most cases also react for CD10, which is also seen in lymphoblastic lymphoma but not other low grade lymphomas. No staining for CD5 is seen.
    Most cases of follicular lymphoma, especially those rich in small-cleaved cells, have a t(14;18) translocation. This results in a rearranged and constitutively over-expressed gene called Bcl-2. The Bcl-2 gene product is an inner mitochondrial membrane protein that blocks apoptosis (in plain English, programmed cell death). Although this protein is produced by an unrearranged Bcl-2 gene in much benign lymphoid tissue and many lymphomas besides follicular ones, it is not detected in benign, reactive germinal center cells. Thus its presence, as detected by immunostaining, can differentiate malignant from benign follicles.

Table of Contents | Next section | Previous section